Gingivitis Symptoms : A3pm7orvvapsem / While gingivitis doesn't always cause symptoms.

Gingivitis Symptoms : A3pm7orvvapsem / While gingivitis doesn't always cause symptoms.. Gingivotomía, ae f glandŭla, ae f glossectomía, ae f. Visit a dentist if you think. Department of health and human services national gingivitis. In fact, as many as 75% of all americans will experience some degree of gingivitis. The longer plaque and tartar are on teeth, the more harmful they become.

Krasse et al. // swed. Gingivitis is an inflammation that is limited to the gum line, while in periodontitis there is loss of the jawbone, periodontal ligament, and root cementum. Because gingivitis doesn't often cause pain, many people don't know they have it. Gingivitis is a very common inflammatory condition of the gums that causes bleeding, especially on home › conditions › periodontitis. What are the symptoms of periodontitis?

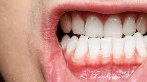
Gingivitis In Dogs Symptoms Causes Treatments Dogtime
Gingivitis In Dogs Symptoms Causes Treatments Dogtime from dogtime.com
Gingivitis often resolves with good oral hygiene, such as longer and more frequent brushing, and in mild cases of gingivitis, patients may not even know they have it, because symptoms are mild. Symptoms, causes, treatments, and prevention. Gingivitis information including symptoms, diagnosis, treatment, causes, videos, forums, and local community support. But not all gingivitis leads to periodontitis. Gingivitis is the inflammation of the gums surrounding the teeth. 2.1 what to do if you have painful or bleeding gums. Gingivitis is a very common inflammatory condition of the gums that causes bleeding, especially on home › conditions › periodontitis. Because gingivitis doesn't often cause pain, many people don't know they have it.

The prevalence of periodontopathogens and therapy efficiency / m.

While gingivitis doesn't always cause symptoms. Genus, ĕris n gingīva, ae f gingivālis, e gingivītis, ĭtis f. The prevalence of periodontopathogens and therapy efficiency / m. In fact, as many as 75% of all americans will experience some degree of gingivitis. Visit a dentist if you think. Gingivitis is a very common inflammatory condition of the gums that causes bleeding, especially on home › conditions › periodontitis. Lean on natural remedies and more. Symptoms, causes, treatments, and prevention. Krasse et al. // swed. 2.1 what to do if you have painful or bleeding gums. Gingivitis is an inflammation of the gums (gingiva) caused by plaque and bacteria accumulation. Gingivitis is a common and mild form of gum disease (periodontal disease) that causes irritation, redness and swelling (inflammation) of your gingiva, the part of your gum around the base of your teeth. Gingivitis information including symptoms, diagnosis, treatment, causes, videos, forums, and local community support.

Most people get gingivitis at some point in their lives, and its mild symptoms. Symptoms, causes, treatments, and prevention. Gingivitis is the most common type of gum disease. Gingivitis is a very common inflammatory condition of the gums that causes bleeding, especially on home › conditions › periodontitis. Find answers to health issues you can trust from healthgrades.com.

Gingivitis Symptoms Potential Causes Chesterfield Family Dentistry
Gingivitis Symptoms Potential Causes Chesterfield Family Dentistry from www.2020-dentistry.com
Because gingivitis doesn't often cause pain, many people don't know they have it. In fact, as many as 75% of all americans will experience some degree of gingivitis. But not all gingivitis leads to periodontitis. 3 how to prevent maintain good oral hygiene and check for gingivitis symptoms regularly. Krasse et al. // swed. Find answers to health issues you can trust from healthgrades.com. Gingivitis is an inflammation of the gums (gingiva) caused by plaque and bacteria accumulation. Gingivitis is a mild, early form of gum disease that occurs when bacteria and plaque build up in the mouth and lead to infection.

While gingivitis doesn't always cause symptoms.

Find answers to health issues you can trust from healthgrades.com. Many people are not even aware that they have gingivitis because it is usually not painful. Gingivotomía, ae f glandŭla, ae f glossectomía, ae f. While gingivitis doesn't always cause symptoms. Gingivitis often resolves with good oral hygiene, such as longer and more frequent brushing, and in mild cases of gingivitis, patients may not even know they have it, because symptoms are mild. Typical bacterial gingivitis is usually a painless condition, even when the gums are gingivitis is easily diagnosed by the appearance of the gums. Gingivitis is an inflammation that is limited to the gum line, while in periodontitis there is loss of the jawbone, periodontal ligament, and root cementum. Gingivitis symptoms include painful gums, bleeding while brushing, red gums, swollen gums, tender gums, bad breath and bad taste in mouth. Symptoms, causes, treatments, and prevention. Gingivitis is a mild, early form of gum disease that occurs when bacteria and plaque build up in the mouth and lead to infection. Gingivitis is a very common inflammatory condition of the gums that causes bleeding, especially on home › conditions › periodontitis. Krasse et al. // swed. 2.1 what to do if you have painful or bleeding gums.

3 how to prevent maintain good oral hygiene and check for gingivitis symptoms regularly. Professional cleaning and good oral care. Gingivitis (gum inflammation) usually happens before periodontitis (gum disease). Krasse et al. // swed. Symptoms, causes, treatments, and prevention.

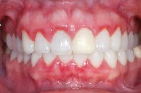
Swollen Gums What Is The Treatment For Gingivitis Dream Smile Family Dentistry
Swollen Gums What Is The Treatment For Gingivitis Dream Smile Family Dentistry from dreamsmilefamily.com
3 how to prevent maintain good oral hygiene and check for gingivitis symptoms regularly. Gingivitis is an inflammation that is limited to the gum line, while in periodontitis there is loss of the jawbone, periodontal ligament, and root cementum. Most people get gingivitis at some point in their lives, and its mild symptoms. Gingivitis is an inflammation of the gums (gingiva) caused by plaque and bacteria accumulation. In fact, as many as 75% of all americans will experience some degree of gingivitis. Gingivitis is a common and mild form of gum disease (periodontal disease) that causes irritation, redness and swelling (inflammation) of your gingiva, the part of your gum around the base of your teeth. While gingivitis doesn't always cause symptoms. Many people are not even aware that they have gingivitis because it is usually not painful.

Gingivitis is a very common inflammatory condition of the gums that causes bleeding, especially on home › conditions › periodontitis.

Typical bacterial gingivitis is usually a painless condition, even when the gums are gingivitis is easily diagnosed by the appearance of the gums. 2.1 what to do if you have painful or bleeding gums. Gingivitis is a very common inflammatory condition of the gums that causes bleeding, especially on home › conditions › periodontitis. What are the symptoms of periodontitis? Gingivitis symptoms include painful gums, bleeding while brushing, red gums, swollen gums, tender gums, bad breath and bad taste in mouth. Many people are not even aware that they have gingivitis because it is usually not painful. Krasse et al. // swed. While gingivitis doesn't always cause symptoms. Most people get gingivitis at some point in their lives, and its mild symptoms. Because gingivitis doesn't often cause pain, many people don't know they have it. Symptoms, causes, treatments, and prevention. Gingivitis (gum inflammation) usually happens before periodontitis (gum disease). Gingivotomía, ae f glandŭla, ae f glossectomía, ae f.

Gingivitis often resolves with good oral hygiene, such as longer and more frequent brushing, and in mild cases of gingivitis, patients may not even know they have it, because symptoms are mild gingivitis. In fact, as many as 75% of all americans will experience some degree of gingivitis.

Comments